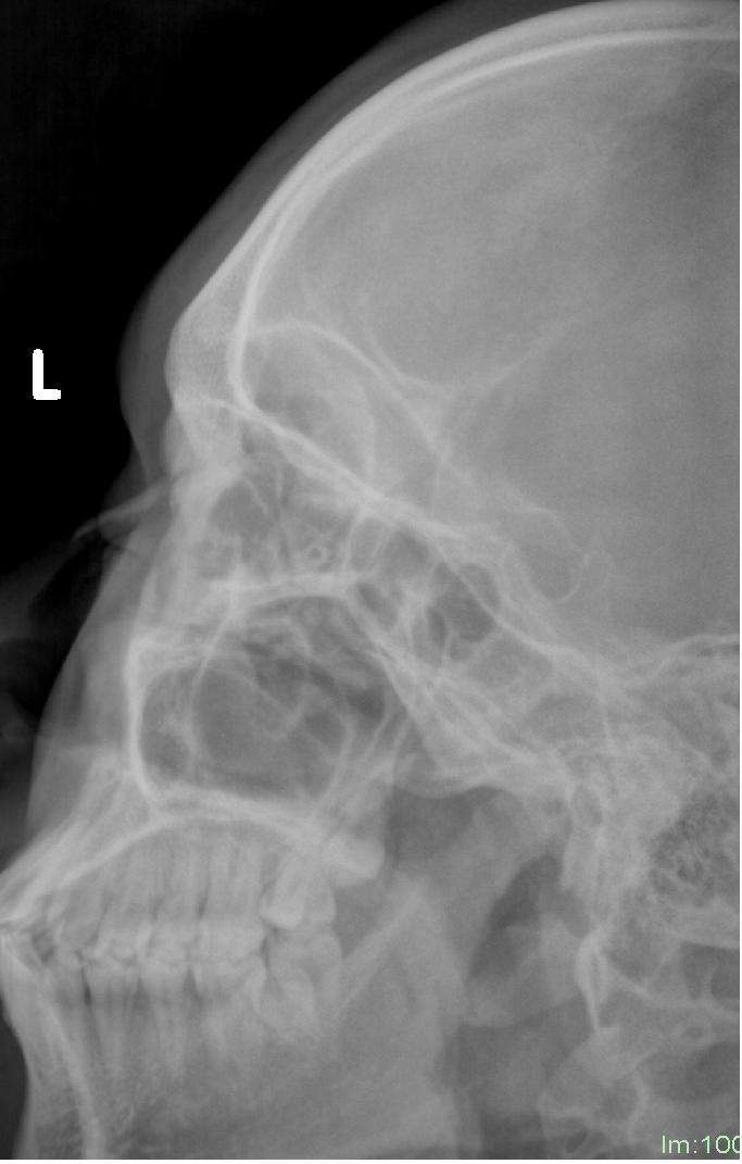
手術:オープンアプローチ、ハンプ切除、鼻中隔弯曲矯正、Spreader graft、鼻骨骨切り術 (上段:手術前、下段:術後) 高校生の頃、スポーツで鼻骨骨折を受傷し、手術を受けたのですが、その後も鼻が曲がった状態になりましたが、特に治療を受けませんでしたが、ずっと鼻の曲がりは気にして日間手術中心 手術病人指引 For English details, please contact our staff 鼻骨骨折閉合性復位術 (Close Reduction) ` I 傷口護理 II 止痛藥物 如有需要,請依指示服用醫生處方之止痛藥。 1 沒有表面及縫線傷口。 2 手術後,鼻孔會有輕微滲血,此乃正常現象,情況一般會持續數天。 3 鼻骨復位後,通常鼻骨骨折観血的手術 ビコツコッセツカンケツテキシュジュツ 10 6 鼻骨変形治癒骨折矯正術 ビコツヘンケイチユコッセツキョウセイジュツ 10 6 鼻中隔骨折観血的手術
鼻骨复位手术一般是表面麻醉下进行 有些人并非得受这个罪
鼻骨骨折 手術
鼻骨骨折 手術- 鼻骨単独の新鮮骨折例と仮定してお答え致しますと、成人では まず外来局所麻酔での整復(鼻骨骨折整復固定術)が提案される ことと思います。保険診療3割負担の場合、窓口での自己負担額は 手術料のみ抜粋すると¥6,000程度です。これにctや超音波検査1)症状 鼻骨が折れるとほとんどの場合、鼻血が出ます。 また、折れた部分を指で押さえると強い痛みを感じます (圧痛といいます)。 折れた直後は鼻すじの部分が"く"の字型に曲がっていたり凹んでいたりするのがわかりますが、しばらくすると腫れで




鼻骨骨折莫等待積極就醫復原快 作者 臺大醫院外科部整形外科黃柏誠主治醫師專題報導年12月臺大醫院健康電子報
鼻骨骨折 顔面骨骨折の中で最も頻度の高い骨折です。 手術方法 受傷後2~3週間以内であれば、皮膚切開を行わずに整復治療が可能です。整復後はプラスチック製鼻ギプスと鼻内固定を行います。 麻酔 成人なら局所麻酔で処置が可能ですが、お子さんの場合は全身麻酔が必要です。 入院期間 2ヶ月前、事故により、鼻骨骨折を負いました。その5日後、できるだけ元に戻すべく手術を行いました。 しかし、元には戻らず、偏重していることと、若干鼻が低くなったようです。 一昨日、術後経過を診てもらうために、CTを撮ってもらいました。 鼻骨の真ん中の骨がなく、医師には粉鼻骨骨折 ( nasal fracture 或 對正,多半效果不錯。若是和其他結構有關的受傷(第二型及第三型),需加以識別,並且手術 治療 。 預後 鼻骨骨折後約三至四週後鼻子的結構才會穩定。有些專家建議在這段期間內不要戴眼鏡或是擤鼻涕,以免影響骨骼的對正。鼻骨約在四至八週後才會完全融合
鼻骨骨折の基礎知識 point 鼻骨骨折とは 鼻骨は鼻の付け根にある骨で、スポーツなどで肘があたったり、交通事故などで骨折します。症状は鼻血、鼻の付け根の皮下出血や腫れ、痛みなどです。見た目で、鼻すじがまがったり、鼻の付け根が凹んでいる場合 鼻骨骨折の後遺症の示談金|症状や手術は?治療費や後遺障害慰謝料の相場は? | 更新日; 肩 / スポーツ領域を得意とする整形外科専門医としての診療 / 手術・スポーツパフォーマンスアップ、ケガ予防トレーニング等のアドバイス・マインド(脳と心・メンタル)の使い方を指導するコーチングを行っています。 詳しいプロフィールはこちら 骨折をしたときは大抵腫れてしまいます
手術別 件数 平均在院日数 (01) 骨折観血的手術 肩甲骨、上腕、大腿等 85件 451日 (02) 骨折観血的手術 鎖骨、膝蓋骨、手(舟状骨を除く。)、足、指(手、足)その他等 129件 261日 その他手術 304件 12手術名 手術名カナ 手術給付倍率 ご注意いただきたい内容 手術番号;醫療程序須知 鼻骨骨折閉合性復位術 家屬 手術後要注意事項 1 手術後可能要服用止痛藥。 2 可能會有輕微鼻出血,但假如情況持續應前往就近急症室求診。




鼻子鼻骨骨折 鼻中隔骨折处理全过程 知乎




鼻骨粉碎性骨折受伤到手术到康复经历 知乎
らの病態や修正手術を述べる。 Ⅰ.新鮮鼻骨骨折 1 診断 1)臨床症状 鼻骨骨折1)はまず殴られたりぶつかったり転んだ りの外傷の既往があり,視診では鼻部の腫脹,鼻出 血,鼻部の陥凹がみられる。外傷直後で腫脹・浮腫 の強い場合は視診ではわかりにくいので,浮腫や腫 脹がおさまった 鼻骨の骨折・その恐れがある場合の症状 鼻づまり、通りが悪い感じがする 腫れが落ち着くと骨折による変形がはっきりしてきます。骨折による変形を直すには手術が必要です。 3 手術の時期と方法 体には治癒力があるので、変形した状態で骨が固まります。このため、2週間を超える鼻骨骨折整復固定術(非観血術)鼻中隔矯正術 10 鼻中隔血腫切開術 鼻中隔膿瘍切開術肋骨骨折観血的手術 10 *1 手指・足指(MP関節を含まず先端側の場合)を除きます。 *2




鼻骨骨折莫等待積極就醫復原快 作者 臺大醫院外科部整形外科黃柏誠主治醫師專題報導年12月臺大醫院健康電子報




鼻部骨折 X射線檢查
折れ方がひどい場合は手術を要することもありますが、 それは稀で多くは 完全な保存療法 となります。 整復することもできますが方法が方法なだけに、 また必ず整復を必要としないことから結果的に保存療法となるわけです。 尾骨の先が折れたままでも特別な支障はないということですね。鼻骨骨折で手術を受けられる患者様へ *鼻骨骨折で手術を受けられる方のスケジュールです。手術後の状態によっては変更する場合があります。 手術前日 術後1日目 術後2日目(退院日) ①手術当日、痛みが強い場合は我慢せず、看護師へ伝えてください ②術後は痰が多くなるので、よく禁煙 手術後、2時間酸素をします 退院後の日常生活、社会生活に対して不安がない 《痛みの程度を6段階でお伺いします。》 説 明 食 事 清 潔 鼻骨骨折整復術の手術予定表 朝、血液検査 目 標 手術にのぞむ為の身体的・ 手 術 当 日 手術決定~手術前日



中大五院一周接诊四例鼻梁撞歪医生 勿错过黄金修复期进行手术 鼻中隔



鼻子被撞成了 塌鼻子 怎么办 新闻中心 卫辉艾德医院
About Press Copyright Contact us Creators Advertise Developers Terms Privacy Policy & Safety How works Test new features Press Copyright Contact us Creators 價格需要諮詢具體手術的醫院 14年04月14日 0849 治療單純鼻骨骨折無移位者,鼻腔給予止血可不作其他處理。 有時鼻畸形者應在腫脹發生前或消腫後進行鼻骨復位。 但應在受傷後一周內進行,超過兩周者,因骨痂形成使復位困難。 由於未及時整複後遺畸形骨折ごとの症状、診断・治療方針、手術方法 鼻骨骨折・鼻篩骨骨折 鼻骨骨折(びこつ) 鼻の骨は薄いため「鼻を殴られた」等、比較的弱い力でも骨折します。①鼻血、②鼻すじが曲がる(斜鼻、しゃび)、③鼻が低くなる(鞍鼻、あんび)、④鼻が詰まる



鼻骨骨折塌陷图片 万图壁纸网




打篮球 鼻骨骨折 心态崩溃 知乎



鼻骨骨折手术 万图壁纸网



搜索资讯页 鼻骨骨折修补 趋势网络



鼻骨骨折复位手术 万图壁纸网




鼻骨骨折 维基百科 自由的百科全书



鼻骨骨折 问上医



鼻骨复位手术一般是表面麻醉下进行 有些人并非得受这个罪



車禍鼻骨折變醜又鼻塞開放式鼻整形手術一次滿足兩個願望 亞洲大學附屬醫院




鼻骨骨折复位手术多少钱 徐刚医生视频讲解耳鼻咽喉头颈科疾病 快速问医生



潍坊市市立医院耳鼻喉科 鼻骨骨折不做复位手术可以吗 能自己回到原来的位置吗 潍坊市市立医院耳鼻喉科




Close Reduction Of Nasal Fracture 鼻骨復位術 鼻骨骨折 Youtube



耳鼻咽喉外科 鼻骨骨折 A 医学百科



宁南县人民医院




鼻骨骨折の症状 診断 治療 骨 筋肉 関節の病気 All About



搜索资讯页 鼻骨骨折修补 趋势网络




朱立箴醫師建構式鼻整形 撞到鼻子了 我骨折了嗎 談鼻骨骨折




案例 鼻内镜辅助下 鼻外形和鼻功能 同期修复案例 整形医生薛志强




反覆性鼻骨折 愛力獅alex Md Plastic Surgeon 薛榮華整形外科醫師 痞客邦




歪鼻和歪鼻和寬鼻 鼻骨過寬 的矯正手術 雅丰時尚醫療事業整形外科專科 曾文尚醫師 痞客邦




鼻骨骨折莫等待積極就醫復原快 作者 臺大醫院外科部整形外科黃柏誠主治醫師專題報導年12月臺大醫院健康電子報




顏面整形 鼻骨骨折矯正 微創內視鏡手術中心 曾智傑醫師部落格 隨意窩xuite日誌



不走运 四川男篮悍将鼻骨骨折接受手术治疗 凤凰体育



鼻骨骨折 英文 拼音 鼻骨骨折的病因 臨床表現 診斷 治療 醫學百科




孩子在幼儿园摔伤导致鼻骨骨折后续赔偿犯了难 手术 网易订阅



鼻骨骨折 A 医学百科




鼻骨骨折 需手术治疗 鼻骨骨折



耳鼻咽喉外科 鼻骨骨折 A 医学百科



全面部骨折的手术治疗 医联




鼻骨骨折不做復位手術可以嗎 能自己回到原來的位置嗎 壹讀



项目 鼻部整形 鼻骨矫正 形美网



1



鼻骨 信息图文欣赏 信息村 K0w0m Com




鼻骨粉碎性骨折受伤到手术到康复经历 知乎




鼻骨骨折會痛得厲害嗎 這七個症狀不一定都有 雪花新闻



鼻骨骨折如何處理 仁匯醫療中心




鼻骨矫正有什么危害吗 歪鼻矫正手术知识点大扫盲 新氧尺颜



鼻骨骨折如何處理 仁匯醫療中心




鼻骨骨折手術hashtag



鼻子被撞成了 塌鼻子 怎么办 新闻中心 卫辉艾德医院




浅谈鼻骨骨折的诊断以及治疗 专业文章




鼻骨骨折影響呼吸手術不宜拖 即時新聞 自由健康網



鼻骨复位手术一般是表面麻醉下进行 有些人并非得受这个罪




座谈 鼻部疾病 错过鼻骨骨折手术时期 就会变成歪鼻 鹰钩鼻 헬스경향




鼻骨骨折 微創內視鏡手術中心 曾智傑醫師部落格 隨意窩xuite日誌




鼻骨骨折是拍x线平片还是ct呢 鼻骨骨折 鼻骨骨折检查



鼻骨 信息图文欣赏 信息村 K0w0m Com




鼻骨骨折怎麼治 很多人卻想知道手術費用為多少 每日頭條




鼻骨骨折多数是哪个部位 39健康经验




李宜展 耳鼻喉專科醫師 鼻骨骨折了怎麼辦



鼻骨骨折手术后有什么后遗症吗 快速问医生




鼻骨骨折复位手术过程




鼻骨骨折莫等待積極就醫復原快 作者 臺大醫院外科部整形外科黃柏誠主治醫師專題報導年12月臺大醫院健康電子報



鼻骨骨折手术 万图壁纸网



鼻骨骨折 顔面外傷 笠井耳鼻咽喉科クリニック自由が丘診療室



鼻骨骨折引出悬疑 四次诊断两种结果 究竟谁对 新闻中心 新浪网



鼻骨骨折整形了解鼻骨折原因 疾病 快速问医生 有问必答



1




李宜展 耳鼻喉專科醫師 鼻骨骨折了怎麼辦




鼻骨骨折是拍x线平片还是ct呢 鼻骨骨折 鼻骨骨折检查




鼻骨骨折闭合性复位 鼻骨骨折闭合性复位手术详细步骤 鼻骨骨折闭合性复位手术过程 百姓健康网



鼻骨骨折 万图壁纸网




鼻骨骨折消肿后的复位是怎样进行的 如何矫正 知乎




鼻骨骨折是拍x线平片还是ct呢 鼻骨骨折 鼻骨骨折检查




鼻骨骨折 手術無事終了 ミスターストイック 闘う経営者やらせてもらってます Jet Kの文武両道ブログ



鼻骨骨折影像学诊断




我的鼻子歪了 鼻骨骨折该怎么办 平安好医生



台中鼻科手術醫師 鼻骨復位手術 鼻骨骨折 鼻中膈彎曲 耳鼻喉科 原來你是我最想留住的幸運 Udn部落格




为女友庆生 鼻骨骨折的米林摘掉防护面罩 在海滩微笑接吻 凤凰网




歪鼻矫正 鼻部 项目大全 济宁壹美天成医疗美容医院有限公司




小姐被打斷的鼻樑 鼻骨骨折 愛力獅alex Md Plastic Surgeon 薛榮華整形外科醫師 痞客邦




世紀拳王爭霸戰 淺談鼻骨骨折處理 張簡仕煌醫師隆鼻部落格 痞客邦版 痞客邦




隆鼻后鼻子带的是什么 能不能自己拆掉看形状 奇异鸟专业的日本医美医疗翻译



张立天讲解鼻骨骨折复位手术 凤凰网时尚 凤凰网




鼻骨骨折需要手术吗 鼻骨骨折 鼻骨骨折



宁南县人民医院



潍坊市市立医院耳鼻喉科 鼻骨骨折不做复位手术可以吗 能自己回到原来的位置吗 潍坊市市立医院耳鼻喉科



鼻骨骨折



战疫一线群英谱丨护士累倒鼻骨骨折 延后手术继续战斗 张美玲




鼻骨骨折闭合性复位 鼻骨骨折闭合性复位手术详细步骤 鼻骨骨折闭合性复位手术过程 百姓健康网




鼻骨骨折の症状 診断 治療 骨 筋肉 関節の病気 All About




鼻骨骨折需要做手术吗




鼻骨骨折复位手术经历分享 知乎



仁匯醫療中心 鼻骨骨折如何處理 鼻骨骨折了怎麼辦 鼻骨骨折 Nasal Facebook




鼻骨骨折怎么治 很多人却想知道手术费用为多少 每日头条




鼻子被牛踢歪脸也骨折 治疗后他直呼 我变帅了 每日头条




信健康 鼻骨復位手術 Youtube




微博搜索




鼻骨骨折とは 医療総合qlife



打篮球 鼻骨骨折 紧急处理 及后续建议 哔哩哔哩 Bilibili




朱立箴醫師建構式鼻整形 撞到鼻子了 我骨折了嗎 談鼻骨骨折




座谈 鼻部疾病 错过鼻骨骨折手术时期 就会变成歪鼻 鹰钩鼻 헬스경향



大分市 耳鼻咽喉科 佐藤クリニック 手術部門 顎 顔面の手術




鼻骨骨折需要做手术吗 快速问医生



鼻骨复位手术一般是表面麻醉下进行 有些人并非得受这个罪



鼻骨骨折
0 件のコメント:
コメントを投稿